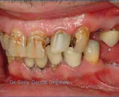
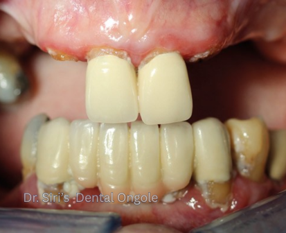
Management of Elderly Patients
Elderly patients often require special dental care due to age-related conditions like gum recession, dry mouth, tooth wear, and multiple medical issues. Regular dental visits help in managing these conditions, improving comfort, and maintaining overall quality of life.
- Management of dry mouth and sensitivity
- Denture care and replacements
- Screening for oral cancer
- Care for patients with medical conditions
- Improving chewing, speech, and comfort
Dental management for older adults focuses not only on treating existing issues but also on preventing new ones. Gentle care, regular check-ups, and customized treatment plans ensure that elderly patients enjoy a healthy smile and better overall well-being.
faqs
Everything you need to know about elderly dental care
As people age, they may face issues such as tooth wear, gum problems, dry mouth, and difficulty maintaining oral hygiene. Specialized dental care helps manage these concerns effectively.
It is recommended that elderly patients visit the dentist every 6 months, or more frequently if they wear dentures, have chronic conditions, or require ongoing treatment.
Yes, we provide complete denture care services, including cleaning, relining, adjustments, and replacements to ensure comfort and function for elderly patients.
Yes, we carefully evaluate the patient’s overall health and medications before treatment. With proper planning, safe and effective dental care is provided even for patients with diabetes, heart conditions, or other medical concerns.
